Panchkula Shopping complex, SCO 16, above Sushma Capital, Dhakoli, Zirakpur, Kishanpura, Punjab 160104 Mon-Sat 09:30am-9pm, Sun Closed
Call Now
+91 7307121701
Maa Dental Cad Cam Lab
Mail Now
info@maadentallab.in

15

Years Experience

About

We MAA Dental Lab, based in Panchkula, Punjab, India, are full service and well equipped dental lab specializing in providing finest dental products and services.We are passionate to be on par with the latest innovations in Dental Technology.We believe in producing quality prosthodontic and dental cosmetic products in schedule time.

Services

25

Cases

10000

Clients

1000

Our Category

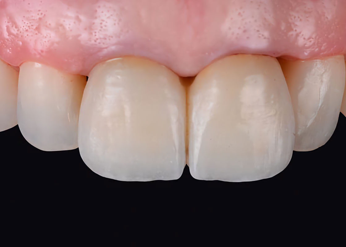
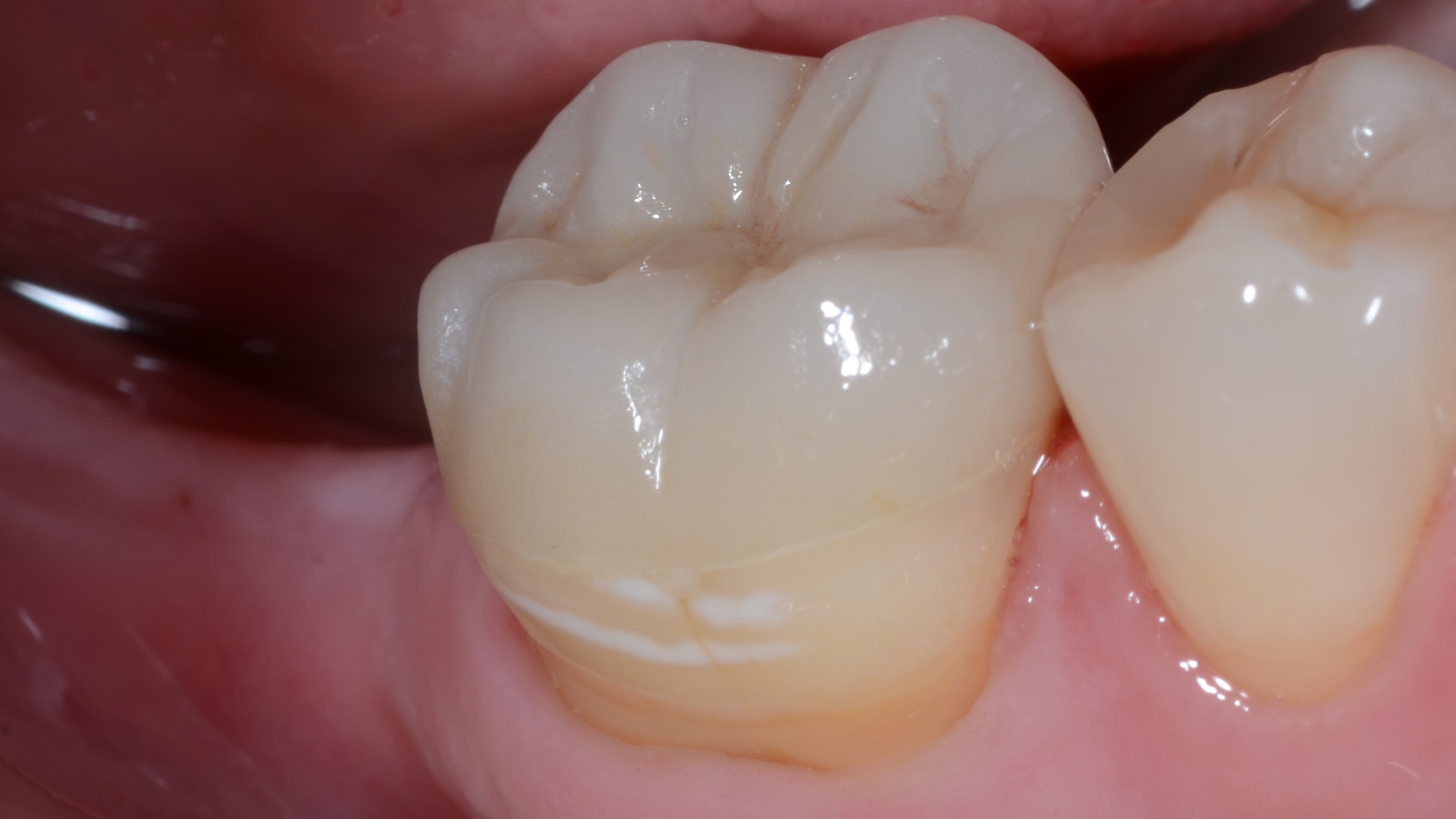
PFM CROWNS

PFM (Porcelain-Fused-to-Metal) crowns are a type of dental restoration that combines metal and porcelain to create durable and aesthetically pleasing crowns.

ZIRCONIA

Zirconia crowns are a type of dental crown crafted from zirconium dioxide, a highly durable and biocompatible ceramic material.

MOUTH GUARD

A mouth guard, also referred to as a mouth protector, is a device that covers the teeth to prevent injuries during various activities.

RPD

A Removable Partial Denture (RPD) is a dental prosthesis used to replace one or more missing teeth in a patient who has some natural teeth remaining.

GRADIA COMPOSITE CROWNS

Gradia composite crowns are dental crowns crafted from a highly aesthetic composite resin known as Gradia, which is a blend of micro-filled resin and ceramic.

E-MAX

E-max is a brand name for a type of all-ceramic dental crown made from lithium disilicate glass-ceramic.

FLEXIBLE RPD

Flexible Removable Partial Dentures (Flexible RPDs) are a type of denture constructed from a flexible, lightweight material, typically a thermoplastic like nylon.

Our Services

Ceramic crown

Read More
Ceramic crown with die cutting

Ceramic crowns with die cutting refers to a specific dental crown fabrication process where a detailed and precise model, known as a "die," of the prepared tooth is created and used to shape the ceram...

Read More
DMLS Crown

DMLS Crown refers to a dental crown produced using Direct Metal Laser Sintering (DMLS), an advanced 3D printing technology that creates precise and durable metal frameworks for crowns and other dental...

Read More
Ceramic implant crown

Ceramic implant crowns are dental crowns specifically designed to attach to dental implants, serving as replacements for missing teeth with restorations that closely resemble the appearance and functi...

Read More
Screw Retain Implant Crown

A screw-retained implant crown is a type of dental crown fixed to a dental implant with a screw instead of dental cement. This approach is frequently utilized in implant dentistry due to its benefits...

Read More
Zirconia monolith Crown(5 Year Warranty)

A zirconia monolithic crown is a type of dental crown made entirely from zirconia ceramic. In contrast to layered crowns that consist of a metal or ceramic base topped with a separate porcelain layer,...

Read More
Zirconia Layering(5 Year Warranty)

Zirconia layering is a dental restoration technique where a zirconia framework is coated with dental porcelain or other ceramic materials to enhance aesthetics and achieve a natural appearance. This m...

Read More
Zirconia Layering(10 Year Warranty)

Zirconia layering is a dental restoration technique where a zirconia framework is coated with dental porcelain or other ceramic materials to enhance aesthetics and achieve a natural appearance. This m...

Read More
Zirconia Implant Crown(5 Year Warranty)

A zirconia implant crown is a specific type of dental crown designed to be placed on a dental implant, made entirely from zirconia ceramic. Zirconia is recognized for its strength, durability, and aes...

Read More
Night Guard

A night guard, also referred to as a night splint or occlusal guard, is a dental device designed for use during sleep. Its primary purpose is to protect the teeth and jaw from damage caused by grindin...

Read More
Bleaching Tray

A bleaching tray is a custom-fitted dental device designed to apply tooth whitening gel to the teeth. The tray ensures even distribution of the whitening gel, maximizing the effectiveness of the treat...

Read More
Ortho Retainer Transparent

An ortho retainer is a dental device used to keep teeth in their new positions following orthodontic treatment, such as braces or clear aligners, preventing them from shifting back to their original a...

Read More
Acrypol+Prestorock

Acrypol and Prestorock are materials utilized in dentistry, especially for restorative and prosthetic treatments. Acrypol is a commonly used dental material functioning as a lining or relining substan...

Read More
Ivoclar+Acryrock

Ivoclar and Acryrock are both dental materials used in various prosthetic and restorative dental procedures. Ivoclar is a renowned brand in the dental field, providing a range of products for restorat...

Read More
Ivoclar+Ivoclar

Ivoclar Vivadent offers various solutions for Removable Partial Dentures (RPDs), emphasizing materials and systems that improve the functionality, comfort, and aesthetics of partial dentures. Their of...

Read More
Attachment RPD

Attachment RPD (Removable Partial Denture) refers to a type of partial denture that utilizes attachments to secure the denture to remaining natural teeth or dental implants. These attachments enhance...

Read More
PFM Gradia Composite

PFM Gradia Composite refers to the utilization of Gradia Composite materials in Porcelain-Fused-to-Metal (PFM) crowns or restorations. PFM crowns are a type of dental crown that integrates the durabil...

Read More
Implant Crown

An implant crown is a dental prosthetic designed to replace a lost or extracted tooth, utilizing a dental implant as its supporting structure. The implant crown is fitted on top of the dental implant,...

Read More
E-Max Crown

E-Max Crown refers to a type of dental crown made from IPS e.max material, a well-known brand of lithium disilicate ceramic. E-Max crowns are praised for their strength, aesthetic appeal, and versatil...

Read More
E-Max Crown(5 Year Warranty)

E-Max Crown refers to a type of dental crown made from IPS e.max material, a well-known brand of lithium disilicate ceramic. E-Max crowns are praised for their strength, aesthetic appeal, and versatil...

Read More
E-Max Crown(10 Year Warranty)

E-Max Crown refers to a type of dental crown made from IPS e.max material, a well-known brand of lithium disilicate ceramic. E-Max crowns are praised for their strength, aesthetic appeal, and versatil...

Read More
Microdent+Acryrock+Unilateral

Microdent + Acryrock + Unilateral refers to a combination of dental products and techniques utilized in the fabrication of a unilateral (one-sided) dental prosthesis, typically aimed at creating parti...

Read More
Microdent+Acryrock+Bilateral

Microdent + Acryrock + Bilateral refers to a combination of dental products and techniques utilized in the fabrication of a unilateral (two-sided) dental prosthesis, typically aimed at creating partia...

Read More
Microdent+Acryrock(5 Year Warranty)

Microdent + Acryrock refers to the use of Microdent products in combination with Acryrock acrylic resin for creating dental prostheses.Microdent + Acryrock involves using Microdent’s high-quality pros...

Read More
TEMP PMM

Read More
Full Mouth implant crown single arch

Read More
COMPLETE DENTURE

Read More
Ceramic Crown PFM

Read More
Flexibel RPD

Read More

Contact Us

This is undoubtedly a top-notch lab that truly values all its customers. The team of experts is dedicated to providing attentive support tailored to your individual needs.

Office Address
Panchkula Shopping complex, SCO 16, above Sushma Capital, Dhakoli, Zirakpur, Kishanpura, Punjab 160104

Office Time
Mon-Sat 09:30am-09pm, Sun Closed

Send Enquiry

Testimonial

Creating Beautiful Smiles with Compassionate Care – What Our Patients Are Saying.